if
aba
.ru
Главная
»
Тени и блики
»
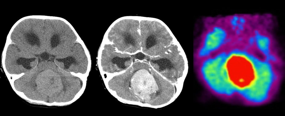
Фотографии и схемы: что такое глиобластома мозжечка
Тени и блики